در سال ۲۰۲۱ میلادی نتیجه یک مطالعه بزرگ انجام شده توسط دانشگاه جان هاپکینز در ایالات متحده نشان داد که در ۶۰ سالگی…
تحقیقات درباره تیروئیدیت هاشیموتو نشان می دهند که اصلاح رژیم غذایی و شیوه زندگی علاوه بر مصرف داروهای استاندارد، می…
تغذیه سالم در کنترل سطح قند خون، فشار خون و کلسترول نقش بسزایی دارد. همچنین پیروی از یک رژیم غذایی مناسب میتواند به…
گرچه از دست دادن چربی ناحیه شکم میتواند دشوار باشد، اما اگر به دنبال کاهش چربی اضافی شکم هستید، چندین کار موثر وجود…
رژیم غذایی عامل مهمی است که میتواند تاثیر قابل توجهی در افزایش یا کاهش رشد موها داشته باشد.
افراد شرکتکننده در این مطالعات بدون رژیم غذایی یا تغییر سبک زندگی خود، وزن کم کردند.
رژیم ضد التهابی که توسط اندرو ویل، پزشک مشهور و متخصص طب یکپارچه ایجاد شده است، رژیمی برای کاهش وزن نیست. در عوض، این…
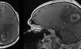
در جدیدترین پژوهشها مشخص شده است که یک رژیم غذایی مخصوص موجب خود تخریبی سلولهای سرطان مغز در موشها میشود.
متخصصان دانشگاه ییل و موسسه پژوهشی متابولیسم ماکس پلانک آلمان در پژوهشی جدید دریافتند که با خوردن روزانه غذای چرب و…
یک متخصص تغذیه گفت: گاهی افراد به دلایلی رژیم خود را میشکنند و بعد فکر می کنند که دوباره نتوانستم رژیم را رعایت کنم و…