محققان دانشگاه کالیفرنیا سن دیگو در مطالعه اخیرشان اظهار کردهاند افراد مسنی که به طور منظم ورزش میکنند مغز قویتر و…
تست خطای دید یا توهم نوری بسته به آنچه در ابتدا می بینید، می تواند نشان دهد که شما مغز زنانه دارید یا مردانه؛ البته از…
محققان دانشکده پزشکی دانشگاه "ویک فارست" آمریکا در مطالعه اخیرشان اظهار کردند، شبکههای مغزی میتوانند در موفقیت افراد…
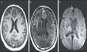
محققان ظرفیتهای شناختی ۴۶ بیمار بستری شده بر اثر ابتلای شدید به بیماری کووید-۱۹ را ۶ ماه پس از این عفونت حاد بررسی…
بسیاری از ما زمان زیادی را به شنیدن آهنگ اختصاص میدهیم، اما شاید اکثر ما ندانیم که موسیقی چه تاثیری بر مغز و بدنمان م…
نتایج یک مطالعه نشان می دهد که ابتلا به بیماری کووید-۱۹ ممکن است باعث تغییراتی در مغز شود.
یک مطالعه که به تازگی انجام شده است نشان میدهد آلودگی هوا با ایجاد التهاب در مغز، باعث کاهش تعداد اسپرمها در بدن میش…
مغز یکی از نعمت هایی است که خداوند به انسانها داده است. این نعمت نقش حیاتی در زندگی، آموزش علم و رشد و ترقی انسان…
پژوهشگران ایرلندی، روش درمانی جدیدی را ارائه دادهاند که میتواند به جلوگیری از رسیدن سرطان پستان به مغز کمک کند.
محققان دانشگاه "ناتینگهام" انگلستان اظهار کردهاند یکی از نواحی مغز که فعالیت زیادی دارد با بیماری اسکیزوفرنی مرتبط است.