ریهها شاید مهمترین منطقه جذاب برای حمله ویروس کووید۱۹ باشند، پس در درجه اول باید تلاش کنم ریهها را از دسترسی این…
پژوهشگران آمریکایی، هدف درمانی جدیدی را کشف کردهاند که میتواند به مقابله موثر با کووید-۱۹ کمک کند.
تحقیقات جدیدی که با همکاری دانشگاه بیرمنگام (Birmingham) انجام شده است، عوامل خطری که باعث افزایش نیاز کودکان شدیدا…
پژوهشگران ژاپنی، ایده اکسیژنرسانی از راه مقعد را روی خوکها آزمایش کردند تا شاید راهی برای مقابله با افت اکسیژن خون…
سرطان ریه علت اصلی مرگهای ناشی از سرطان در ایالات متحده و سراسر جهان است. کارسینومای سلول سنگفرشی ریه به ویژه نوع…
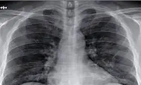
عضو کمیته علمی ستاد ملی مقابله با کرونا و متخصص بیماری های عفونی و گرمسیری گفت: ویروس کرونا انگلیسی ریه فرد بیمار را…
یک گروه بینالمللی از پژوهشگران با همکاری
فوق تخصص بیماریهای عفونی کشور درباره درگیری ریه به کرونا انگلیسی توضیحاتی را ارائه کرد.
به گفته دو پزشک متخصص بیماریهای عفونی، اغلب درگیریهای ریوی در بیماری کرونا با علائم و نشانههایی همراه است.
محققان انستیتوی تحقیقاتی کارولینسکای سوئد با مطالعه نحوه رشد ماکروفاژها در ریه توانستند سلولهایی را که در تشدید عفونت…