راهکار عملی برای اجرای فرامین رهبر انقلاب اجرای واقعی اصل ۴۴ قانون اساسی و سیاستهای کلی نظام، تشکیل کارگروهی ویژه به…
بر اساس پژوهشی که تحت عنوان «گزارش مهاجرت ایرانیان: علل و انگیزهها» انجام شده، تنها ۱۶ درصد از افراد اظهار کردهاند…
در ایران سوختگی در سال ۲۰۱۰ هشتمین علت مرگ زودرس بوده است. مایعات داغ (آب جوش) شایعترین عامل سوختگی در کودکان است.…
مرکز رصد جمعیت کشور اعلام کرد: بیشترین تعداد ولادت ها در ۸ ماهه سال ۱۴۰۳ با ۳۶.۸ درصد مربوط به تولد دومین فرزند…
ایرانیها بهطور متوسط ۴ سال بعد از ازدواج فرزند به دنیا میآورند.
بر اساس جدول منتشر شده، در سال ۱۳۹۶ تعداد بیش از ۳۶۹ هزار مرگ و میر در کشور ثبت شده است. جمعیت کشور در این سال ۷۹…
یک جامعه شناس کفت: ما در حوزه اموزش و پرورش و تربیت و رسانههای جمعی، چقدر به جامعه آموزش میدهیم که به هم اعتماد…
تابستان ۱۴۰۴ موعد اجرای «سند ملی پیشگیری و کنترل بیماریهای غیر واگیر» تمام میشود. این سند، تابستان ۱۳۹۴ و برای یک…
ثبت نام لاتاری در حالی تموم شد که ترامپ رئیس جمهور تازه انتخاب شده آمریکا برنامه های ضدمهاجرتی سفت و سختی برای دوره…
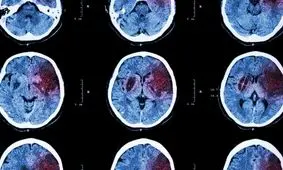
سکته مغزی یکی از علل اصلی مرگ و میر در جهان محسوب میشود و نه تنها برخی از مبتلایانش را به کام مرگ میکشاند، بلکه…