دکتر مورل برای سر کیف آمدن پیشوا گاه دوز کوکائین را تا ده برابر بیشتر میکرد، برای همین هم پس از مدتی هیتلر دیگر خمار…
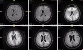
یک تیم پزشکی در بریتانیا تصاویری از اسکن مغزی یک بیمار را منتشر کردهاند که در اثر مصرف کوکائین دچار مشکلات جدی شده…
کارشناسان انگلیسی پس از آزمایش و بررسی آب رودخانه تایمز که فاضلاب شهر لندن به آن سرازیر میشود به نتایج جالبی درباره…
وزارت کشور اکوادور اعلام کرد: پلیس مبارزه با مواد مخدر این کشور، ۵۸۹ کیلوگرم کوکائین را که در ظرفهای حامل بار موز…
مسئولان مدرسه پس از بررسی بادکنکها، تصور کردند پودر داخل بادکنکها آرد است اما برای احتیاط پلیس را در جریان گذاشتند.…
کارتل مواد مخدر برای یک قلاده سگ پلیس کلمبیا که در کشف هزاران کیلوگرم کوکائین جاسازی شده کمک کرده، جایزهی ۷ هزار…
پلیس مبارزه با مواد مخدر فاتب در جریان طرح والعادیات یک باند واردکننده کوکائین به کشور را شناسایی و دستگیر کرد.
پلیس هلند از دستگیری شش نفر به اتهام قاچاق ۴.۵ تن کوکائین خبر داد.
رئیس پایگاه دوم پلیس مبارزه با مواد مخدر تهران بزرگ از کشف ۱۰۰ گرم کوکائین و دستگیری سه تن از توزیع کنندگان مواد مخدر…
پلیس اسپانیا و پرتغال از کشف محموله کوکائین داخل آناناسهای تازه خبر دادند.