مقامات بخش بهداشت عمومی شهر چنگدو در استان سیچوآن چین اعلام کردند که یکی از مبتلایان به
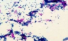
«نوکاردیا»، باکتری هوازیست که بهطور گسترده در منابع محیطی از قبیل آب، خاک، ذرات گردوغبار و گیاهان در حال فساد زندگی می…