یک مادر جوان با ورود به اتاق کودک خود با صحنه وحشتناک حمله یک موش غول پیکر به فرزندش مواجه شد.
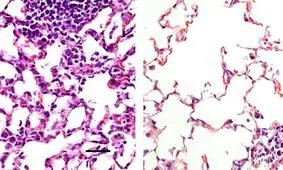
کارشناسان آلمانی برای اولین بار یک مورد انتقال ویروس سئول از موش به انسان را در این کشور تأیید کردند.
یک موش مینیاب به دلیل نشان دادن « فداکاری و حسن انجام وظیفه» در پاکسازی میادین مین، بالاترین نشان شجاعت بریتانیا…
محققان در بارسلونای اسپانیا و کیوتوی ژاپن با عوض کردن ژنها بین سلولهای انسان و موش دریافتند که زمان برای انسان کندتر…
دانشمندان دانشکده پزشکی
قرنطینه به دلیل ویروس کرونا باعث بسته شدن رستورانها و خانه ماندن مردم شده است. این ماجرا عوارض بسیاری دارد از جمله…
موشهایی که با شیوع ویروس کرونا گرسنه ماندهاند ممکن است به همنوعخواری روی آورند و این امر میتواند منجر به ایجاد…
ویدئوی یک کشتی نفسگیر و دیدنی بین دو موش را مشاهده میکنید.
دست به یقه شدن دو موش در متروی لندن، عکاسی را که ۵ شب و روز متوالی برای شکار این تصویر صبر کرده بود برنده جایزه لومیکس …
پژوهشگران آمریکایی در بررسی جدید خود موشهایی را به رانندگی ترغیب کردند و دریافتند که این موشها، استرس کمتری را تجربه …