تامین اجتماعی اعلام کرد: پزشکان عمومی میتوانند سیتی اسکن ریه درخواست کنند
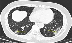
پژوهشگران اخیراً اعلام کردهاند با کمک سیتی اسکن میتوان بیماری مهلک کروناویروس را چهار روز زودتر تشخیص داد.
پرتوهای اشعه ایکس دستگاه های رادیولوژی و سی تی اسکن دارای عوارض سرطان زاهستند.
محققان موفق به طراحی نرم افزار دستگاه سی تی اسکن ۴ بعدی مبتنی بر مفهوم واقعیت افزوده شدند.
در بیمارستان کودکان لندن اتاق و دستگاه س تی اسکن را به این شکل تزئین کرده اند تا بچه ها نترسند.
در این مطلب می خواهیم شما را با کاربردها، خطرات، نحوه ی انجام آزمایش و آمادگی های لازم برای آن آشنا کنیم.
مطالعه جدید نشان میدهد سی تی اسکن که عمدتا در تصویربرداریهای پزشکی استفاده میشود ریسک تومورهای مغزی را افزایش میده…
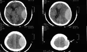
نخستین آزمایش خون برای تشخیص ضربه مغزی در افراد تایید شد.
بازهم خرابی دستگاه های بیمارستان ها دردسر ساز شد، اینبار خرابی دستگاه سی تی اسکن در بیمارستان دهدشت یاسوج باعث ایجاد…