دانشمندان اثبات کردهاند نوعی ویروس میتواند سرطان پوست را درمان کند.
یک متخصص پوست گفت: کسانی که تنها از کرم ضد آفتاب برای محافظت در برابر نور خورشید و سرما استفاده میکنند، بیشتر دچار…
پژوهشگران آمریکایی سعی دارند با ترمیم سلولهای آسیبدیده DNA، از سرطان پوست پیشگیری کنند.
کاشت ناخن با ژل خطرات بسیاری به دنبال دارد که از جمله آن میتوان به سرطان و پیری پوست دست اشاره کرد.
رئیس مرکز بهداشت چهارمحال و بختیاری، غربالگری و تشخیص زودهنگام سرطان را دو راهکار اساسی برای ثبت سرطان و درمان آن…
راهکار جدید دانشمندان استرالیایی می تواند به درمانی انقلابی برای سرطان پوست منجر شود.
گر به سلامت پوست خود اهمیت می دهید شاید برایتان جالب باشد که با دکمه ای آشنا شوید که می تواند از سرطان پوست پیشگیری کند.
علایم سرطان پوست را بشناسید زیرا با تشخیص سریع قابل درمان است.
مواجهه با عوامل محیطی زیانبار، پرتودرمانی و حتی عوامل وراثتی و ژنتیکی ممکن است در ابتلا به بیماری نقش داشته باشند.
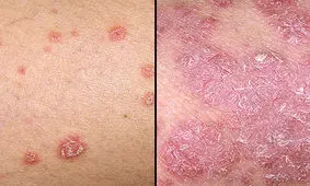
سرطان پوست و انواع بیماری پسوریازیس با علائم مختلفی همراه هستند. ممکن است برخی از این علائم در هر دو نوع بیماری مشابه…