لبخند زیبا تأثیر بسیار زیادی در زیبایی چهره و افزایش اعتماد به نفس افراد دارد و با پیشرفت علم دندانپزشکی، شاهد رشد روز…
محققان دانشگاه کالیفرنیا، دیویس واقع در آمریکا راهکار جدیدی را ابداع کردند که امکان تعیین جنسیت بقایای چند هزار ساله…
زن ۲۵ ساله ایتالیایی لای دندانهایش موهایی شبیه مژه در می آورد.
یک مرد اهل کرواسی رکورد بلندترین دندان انسان را شکست. درواقع این مرد با داشتن دندانی 3.72 سانتی متر، بلندترین دندان را…
پزشکان در کمال تعجب از سر بازیکن تازهکار یک دندان بیرون کشیدند.
مرد اندونزیایی گلوی همسرش را آنقدر گاز گرفت که زن به دلیل خفگی جان سپرد.
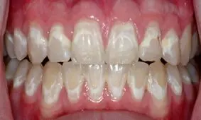
یک متخصص دهان و دندان درباره عارضه وجود لکههای سفید روی دندانها و راهکار حذف آن توضیح داد.
محققان موفق به ابداع یک ماده آنتیباکتریال برای پر کردن دندانها شدهاند که نیاز به پر کردن مجدد دندان در گذر زمان را…
به گفته محققان انسان نئاندرتال و مدرن در ۸۰۰ هزار سال پیش از دو گونه کاملاً متفاوت بودهاند.
این روزها استفاده از سفیدکننده های دندان بسیار رایج شده است. سفیدکننده ها شاید ظاهر دندان های شما را زیباتر نشان دهد…