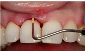
یک دندانپزشک گفت: جرم میتواند باعث تحلیل لثه و تخریب استخوانهای نگه دارنده دندانها شود.
پلاک و جرم به تجمع غذا بیرون و درون دندان گفته می شود ، این بیماری دهانی باعث تنفس های بدبو و حتی پوسیدگی دندان میشود .
جرم دندان در نتیجه تجمع پلاکها و سخت شدن (کلسیفه شدن) آنها بر روی سطح دندان به وجود میآید. در واقع پلاک بعد از گذشت دو تا سه روز شروع به تبدیل شدن به جرم دندان میکند.