محققان اخیرا با مطالعه بر روی موشها دریافتهاند که رژیم غذایی حاوی نمک زیاد میتواند با رشد تومورها مبارزه کند.
دانشمندان برای اولین بار یک تومور مرگبار مغزی را چاپ سه بعدی کردند که کاملترین مدل تولید شده در آزمایشگاه تاکنون است.
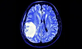
گروهی از محققان دانشکده پزشکی دانشگاه واشنگتن یک مدل یادگیری عمیق ایجاد کردهاند که با استفاده از یک اسکن ام آر آی سه…
معمولاً دانشمندان برای تشخیص انواع مختلف از سرطان به آزمایشات خون روی می آورند. این آزمایشات، دی.ان.ای جهش یافتهای…
پژوهشگران سوئدی در بررسی جدید خود، ساختار هایی را کشف کرده اند که میتوانند در مقابله با تومور های مغزی موثر باشد.
متخصصان حوزه سلامت به افراد و متخصصان هشدار میدهند علائم تومور مغزی نباید به دلیل پاندمی کووید ۱۹ مورد بیتوجهی قرار گ…
محققان میگویند سلولهای ایمنی فلج شده توسط تومورهای مغزی میتوانند برای مبارزه با تومورهای مغزی دوباره فعال شوند.
محققان دو کشور اتریش و سوئد روش جدیدی برای درمان تومورهای بدخیم مغزی ایجاد کردهاند که انتظار میرود نتایج بهتر و…
متخصص مغز و اعصاب و فلوشیپ سردرد استان زنجان گفت: سردردها در برخی موارد نشانه ابتلا به بیماریهای خطرناکی مانند تومور…
محقق ایرانی دانشگاه هوستون روشی جدید برای از بین بردن نوعی سرطان بدخیم مغز ارائه کرد که در آن از نوعی نانوحامل استفاده…