چهارشنبه ۱۵ بهمن ۱۴۰۴
4 February 2026
EN
AR
منو
بستن
صفحه اصلی
عناوین اخبار
سیاسی
دفاعی
قضایی
سیاست داخلی
سیاست خارجی
مجلس
دولت
بین الملل
رهبری
انتخابات
اقتصادی
تولید و صنعت
انرژی
بانک،بورس،بیمه
اقتصاد جهان
بازار و تجارت
کشاورزی
راه و مسکن
اقتصاد ایران
ارتباطات
خودرو
ارز و طلا
اجتماعی
روانشناسی
خانواده
آسیب های اجتماعی
سلامت
شهری و روستایی
انتظامی
آموزش
محیط زیست
حوادث
حوادث طبیعی
آتش سوزی
راهنمای حقوقی
حقوق قضایی
دادگاه
تصادف
خودکشی
سرقت،زورگیری
جنایی
سبک زندگی
موفقیت
تغذیه
مد و دکوراسیون
زندگی بهتر
دانش
استارتاپ ها
نجوم
تازه های علم
فناوری
ورزشی
ورزشهای رزمی
کشتی و وزنه برداری
سایر ورزشها
ورزش معلولین
فوتبال و فوتسال
توپ و تور
استانها
بوشهر
لرستان
هرمزگان
مازندران
زنجان
کرمانشاه
تهران
آذربایجان غربی
فارس
مرکزی
قم
گلستان
خراسان رضوی
چهارمحال و بختیاری
سمنان
اردبیل
قزوین
کرمان
گیلان
ایلام
البرز
خراسان جنوبی
کهگیلویه و بویراحمد
اصفهان
سیستان و بلوچستان
خوزستان
همدان
کردستان
آذربایجان شرقی
خراسان شمالی
یزد
فرهنگی
تجسمی
اندیشه
موسیقی
تفریحی و گردشگری
چهره ها
رسانه
کتاب و ادبیات
سینما و تئاتر
سرگرمی
تاریخ
طنز
بازی
کاریکاتور
گوناگون
به روایت شما
ویدیو
چندرسانه ای
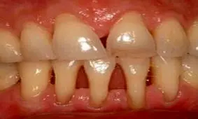
تحلیل لثه
یک دندانپزشک:
جرم باعث تحلیل لثه و لق شدن دندان ها میشود
یک دندانپزشک گفت: جرم میتواند باعث تحلیل لثه و تخریب استخوانهای نگه دارنده دندانها شود.
۱۲ دی ۱۴۰۱
وراثت و افزایش سن خطری برای تحلیل لثه و سایش روی دندان
۰۳ اسفند ۱۳۹۵