یک مطالعه جدید نشان میدهد که بیماری شدید لثه میتواند حتی یک فرد سالم را به پرفشاری خون دچار کند.
یک مطالعه جدید نشان میدهد که بیماری شدید لثه میتواند حتی یک فرد سالم را به پرفشاری خون دچار کند.
جراح دندانپزشک در رابطه با نقش لثه در سلامت دندان گفت: لثه برای دندان مثل خاک برای درخت است و اگر خاک خوب نباشد،…
یک متخصص دهان و دندان گفت: نمک ریختن روی آفت دهانی مشکل را حادتر میکند.
دانشمندان علائم نادر دیگری را نیز که نشان دهنده ابتلا به ویروس کروناست را کشف کرده اند.
نتایج یک مطالعه جدید نشان میدهد که ارتباطی میان بیماری لثه و عفونت کشنده کرونا وجود دارد.
محققان میگویند ارتباط مستقیمی میان بیماری لثه در افراد و مرگ و میر ناشی از ابتلا به ویروس کرونا وجود دارد.
عضو هیئت علمی دانشکده دندانپزشکی دانشگاه شهید بهشتی گفت: رعایت نکردن بهداشت دهان و دندان میتواند بروز بیماریهای…
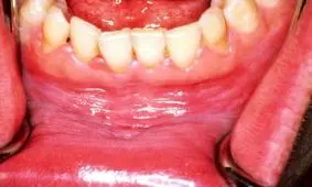
سفید شدن لثهها اغلب نشانه وجود مشکل در وضعیت سلامت و بهداشت دهان فرد است.