پزشکان در یک مطالعه تازه هشدار دادند که محدودیتها و اعمال قرنطینههای خانگی با هدف مهار همهگیری کووید ۱۹ با خطر…
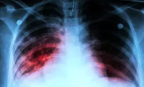
رییس اداره کنترل سل و جذام معاونت بهداشت وزارت بهداشت، درمان و آموزش پزشکی ضمن اشاره به موارد بروز سل در کشور،…
سرپرست دانشگاه علوم پزشکی شهید بهشتی گفت: ۲۲ کشور دنیا در معرض بالاترین میزان شیوع و بروز سل قرار دارند که تقریبا ۱۵…
علیاکبر ولایتی رئیس نهمین کنگره بینالمللی بیماریهای ریوی، مراقبتهای ویژه و سل گفت: ایران در منطقه غرب آسیا و شمال…
معاون آموزشی بیمارستان مسیح دانشوری با اشاره به برنامه کشوری وزارت بهداشت برای پیشگیری از بروز سل و HIV، گفت: حدود ۸۰…