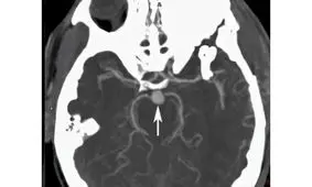
هر ساله نزدیک به نیم میلیون نفر در سراسر جهان بر اثر آنوریسم مغزی جان خود را از دست میدهند.
مطالعات نشان میدهد مصرف تمام محصولات لبنی با ۴ درصد کاهش ریسک مرگ و میر ناشی از بیماریهای عروق مغزی مرتبط است.