عضو هیئت علمی گروه فیزیک دانشگاه حکیم سبزواری گفت: کابین امواج ضدعفونی کننده برای کاهش بار ویروسی پرسنل مراکز درمانی و…
چین افتخارِ داشتن بیشترین تعداد اختراعاتی را دارد که جهان امروز ما را تغییر داده است.
در این گزارش، سوابق و ادعای مخترع دستگاه کرونایاب، کامبیز گلشنی، مورد بررسی قرار گرفته است.
دستگاه شوک الکتریکی قلب دستگاهی است که میلیونها فردی که دچار ایست قلبی شدهاند را نجات داده است.
تارنمای فرانسوی «فوتورا/ Futura» از طرحی رونمایی کرد که بر اساس آن ماسک های ضد کرونای مدل N۹۵ با استفاده از پرینترهای…
پس از درگیر شدن جهان با ویروس کرونا، شرکت چینی یک حباب شخصی طراحی کرده که دارای چراغ هایی با نور مافوق بنفش است که…
مخترع، پژوهشگر و فارغالتحصیل دانشگاه آزاد اسلامی میگوید محصولی ساخته است که اگر سال گذشته در سانحه جاده هراز روی…
افرادی که دچار معلولیتهای حرکتی هستند، برای سفرهای هوایی و بسیاری از امور دیگر دچار مشکل هستند؛ زیرا باید از ویلچر…
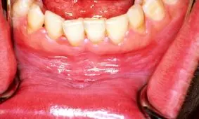
عضو هیات علمی دانشکده دندانپزشکی دانشگاه علوم پزشکی زاهدان موفق به تولید چسب مخاطی کورکومین در درمان ضایعات زخمی لیکن…
یک مخترع آملی با ساخت دستگاه بذرکار کمک شایانی به کشاورزان کرده است.