کور شدن یک زن بخاطر فین کردن شدید +عکس

زن جوان تصور نمیکرد یک کار ساده باعث کور شدنش بشود ! فشار بیش از حدی که زن جوان به  بینی و مغز خود برای فین کردن آورده بود باعث نابینا شدنش گردید.

کور شدن یک زن بخاطر فین کردن شدید +عکس

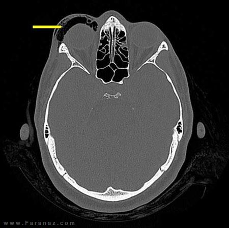
زن 32 ساده با فین کردن کارش به نابینایی کشیده شد .به گزارش پارسناز ماجرای کور شدن چشم زن جوان که در حال خالی کردن مخاط بینی اش بود را می خوانید.ماجرا از این قرار بود که به گزارش پارس سناز فین کردن شدید بینی این زن به مرور موجب دردهای شدید و شدیدتر شده بود و آسیبی که به چشمانش وارد شده بود موجب سردرد و افزایش درجه حرارت بدن او شده بود چشمانش به طور کامل بسته و او برای مدتی کاملا نابینا و کور شده بود.

زن جوان 32 ساله که نامش منتشر نشده است با چشمانی متورم به پزشک مراجعه کرد و گفت که او چند ساعت پیش با شدت زیاد مخاط بینی اش را خالی کرده و به مرور متوجه بروز مشکل در چشمانش شده تا اینکه به طور کامل چشمانش ورم کرده.

آزمایشات دقیق و عکسبرداری ها ثابت کرد که این زن دچار مشکل " آمفزیم مداری" شده . آمفیزم مداری یعنی تورمی که در هنگام خارج شدن هوا با شدت از بینی به داخل بافت نرم اطراف چشم فشار وارد می شود بروز می کند. در موارد شدید این مشکل می تواند با وارد کردن صدمه به سیستم عصبی چشم موجب کوری شود.

منبع: پارس ناز

1980

شبکه‌های اجتماعی
دیدگاهتان را بنویسید