۱۲ بیماری مرگبار که در عرض ۲۴ ساعت یا کمتر جانتان را می‌گیرند

بیشتر ما به یاد حمله‌های قلبی و سکته‌های مغزی می‌افتیم، اما کمتر کسی می‌داند که بیماری‌های عفونی هم هستند که می‌توانند به سرعت جان فرد مبتلا را بگیرند و مرگی ناگهانی را رقم بزنند.

۱۲ بیماری مرگبار که در عرض ۲۴ ساعت یا کمتر جانتان را می‌گیرند

وقتی صحبت از مرگ‌های قریب الوقوع به میان می‌آید بیشتر ما به یاد حمله‌های قلبی و سکته‌های مغزی می‌افتیم، اما کمتر کسی می‌داند که بیماری‌های عفونی‌ هم هستند که می‌توانند به سرعت جان فرد مبتلا را بگیرند و مرگی ناگهانی را رقم بزنند. البته به خاطر داشته باشید که چنین عفونت‌هایی عموماً بیماری‌های شایعی نیستند. در ادامه به بیماری‌های کشنده‌ای می‌پردازیم که در عرض یک روز یا کمتر جان قربانی خود را می‌گیرند.

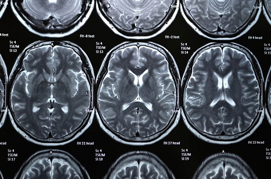
۱- سکته‌ی مغزی

سکته‌ی مغزی یکی از شایع‌ترین عوامل مرگ و میر در دنیا است. این حالت زمانی رخ می‌دهد که یک لخته، یکی از رگ‌های خونی مغز را مسدود می‌کند (یا رگ خونی‌ای پاره می‌شود) و به همین دلیل دیگر به مغز به اکسیژن نمی‌رسد. در صورت وقوع سکته‌های ایسکمیک مغزی، استفاده از دارو‌های حلال لخته‌ی خون می‌تواند نجات بخش باشد، اما این دارو‌ها معمولاً فقط ظرف سه ساعت بعد از وقوع سکته کارساز هستند.


۲- مالاریا

بیماری‌هایی که از طریق پشه منتقل می‌شوند، در بخش‌هایی از دنیا مثل آمریکای جنوبی، آفریقا و آسیا شایع هستند. یک نوع خاصی از انگل مالاریا وجود دارد که به آن P. falciparum گفته می‌شود و می‌تواند کشنده باشد. این انگل به سرعت گلبول‌های قرمز خون را از بین می‌برد، در حالی که این گلبول‌ها نقشی کلیدی در انتقال اکسیژن به بافت‌های بدن دارند. اگر قرار است به کشوری سفر کنید که مالاریا در آن شایع است، پیش از آن پزشک مراجعه کرده تا در صورت لزوم، دارو‌های پیشگیری از مالاریا دریافت کنید.


۳- تب دنگی حاد


تب دنگی یکی دیگر از بیماری‌های عفونی‌ای است که از طریق پشه منتقل می‌شود و علائم شبه آنفولانزا در فرد مبتلا ایجاد می‌کند. طبق اعلام سازمان بهداشت جهانی، نیمی از جمعیت دنیا در معرض خطر ابتلا به این بیماری قرار دارند. نشانه‌های این بیماری عبارتند از: تب بالا، سردرد شدید و درد مفاصل. اما این بیماری می‌تواند پیشرفت کند و تبدیل به «دنگی حاد» شود که نشانه‌های آن، شکم درد شدید و استفراغ غیر قابل کنترل است. این بیماری می‌تواند کشنده باشد. فرد مبتلا ظرف ۲۴ تا ۴۸ ساعت از شروع نشانه‌های بیماری، باید تحت مراقبت پزشکی قرار بگیرد. برخلاف مالاریا، هیچ دارویی برای پیشگیری از دنگی وجود ندارد و تنها کاری که می‌توانید انجام دهید این است که از مواد دافع پشه‌ها استفاده کنید.


۴- ایست قلبی

ایست قلبی که سالانه جان میلیون‌ها نفر را در سراسر دنیا می‌گیرد، بیشتر در دهه‌های ۳۰ و ۴۰ زندگی رخ می‌دهد و ریسک وقوع آن در مردان بیشتر است. برخلاف حمله‌ی قلبی، مرگ ناگهانی ناشی از ایست قلبی اغلب در اثر آریتمی یا همان نامنظم شدن ضربان قلب رخ می‌دهد. بعد از وقوع ایست قلبی، در صورتی که اقدامی نشود، شخص ظرف چند دقیقه فوت خواهد کرد.


۵- طاعون ریوی

طاعون پنومونی یا ریوی از طریق نیش یک کک آلوده یا تماس با فرد مبتلا منتقل می‌شود. این بیماری بیشتر در آفریقا شایع است و اگر با آنتی بیوتیک درمان نشود، می‌تواند ظرف ۱۸ تا ۲۴ ساعت شخص را از پای دربیاورد.


۶- مننگوکوک

باکتری مننگوکوک می‌تواند باعث بیماری نادری به نام مننگوکوک شود. این باکتری می‌تواند در جریان خون حرکت کند و باعث از کار افتادن سریع اندام‌های بدن و مرگ شخص شود. باکتری مننگوکوک بافت‌های بدن را به شدت تخریب می‌کنند، باعث ایجاد لخته در رگ‌های خونی و مرگ سریع اندام‌های بدن می‌شود. این بیماری گاهی فقط ۸ ساعت به فرد مبتلا فرصت می‌دهد و همین مسأله آن را به یک یاز ترسناک‌ترین بیماری‌های عفونی در دنیا تبدیل کرده است. کسانی که به هر دلیلی طحال خود را از دست داده اند، بیشتر در معرض این بیماری هستند، چون این اندام از بدن ما در برابر انواع خاصی از باکتری محافظت می‌کند. بهترین درمان برای این بیماری، پیشگیری از آن است که با واکسن امکان پذیر است.


۷- وبا

خوردن آب یا غذایی که آلوده به باکتری ویبریو کلرا یعنی باکتری مولد بیماری وبا باشد، می‌تواند منجر به اسهال آبکی و کم آب شدن شدید بدن شود. این باکتری می‌تواند به شخص مبتلا شوک وارد کند و ظرف چند ساعت او را از پای درآورد. برای درمان این بیماری باید از طریق سرم‌های خوراکی یا تزریقی، آب از دست رفته‌ی بدن جبران شود.

۸- کتواسیدوز دیابتی

این حالت که بیشتر در دیابت نوع یک رخ می‌دهد، زمانی به وجود می‌آید که سطح انسولین چنان کاهش می‌یابد که چربی‌ها را تجزیه و تبدیل به کتون می‌کند. با انباشته شدن کتون، خون اسیدی می‌شود. سردرد، خشکی عضلات، حالت تهوع و نفس نفس زدن، از علائم این حالت هستند. کتواسیدوز دیابتی به درمان فوری با انسولین و مایعات نیاز دارد، در غیر اینصورت می‌تواند منجر به اِدِم مغزی (تجمع آب در فضای داخل سلولی یا خارج سلولی در مغز)، ایست قلبی یا نارسایی کلیوی شود. ظرف ۲۴ ساعت، شخص علائم شدیدتری را تجربه خواهد کرد که همگی منجر به کما یا مرگ خواهند شد.


۹- عفونت تهاجمی استرپتوکوکی گروه آ

به این بیماری «عفونت استرپتوکوکی گوشتخوار» یا بیماری گوشتخوار هم گفته می‌شود. این عفونت در اثر گونه‌ای از باکتری‌ها به وجود می‌آید که در بیماری گلودرد استرپتوکوکی نقش دارند. البته این بدان معنی نیست که گلودرد استرپتوکوکی به بیماری گوشتخوار تبدیل می‌شود. یک پارگی در پوست با بریده شدن آن می‌تواند باکتری را وارد بدن کند و عفونت ناشی از آن به سرعت در بدن منتشر می‌شود. این عفونت ممکن است ابتدا با یک برآمدگی قرمز رنگ روی پوست بروز پیدا کند و ظرف چند ساعت می‌توانید گسترش بیماری را تقریباً به چشم ببینید. برای مثال، اگر عفونت از پای شما شروع شده باشد، به تمام پایتان گسترش پیدا می‌کند. درمان این عفونت شامل تشخیص سریع، استفاده از آنتی بیوتیک و انجام عمل جراحی برای برداشتن ناحیه‌ی صدمه دیده می‌شود. مانند باکتری مننگوکوک، کسانی که به هر دلیلی طحال خود را از دست داده اند، بیشتر در معرض این عفونت هستند.


۱۰- شوک عفونی

عفونت باکتریایی‌ای که از طریق جریان خون گسترش پیدا کند (عفونت خونی‌ای که اغلب با باکتری عامل بیماری مننژیت همراه است) می‌تواند باعث افت فشار خون شود، حالتی که به آن شوک عفونی گفته می‌شود. در صورت تشخیص، فرد مبتلا در بخش مراقبت‌های ویژه بستری خواهد شد. درمان فوری شخص اهمیت زیادی دارد. با این حال، تحقیقات نشان می‌دهد فقط ۵۰ درصد از این بیماران ظرف ۶ ساعت تحت مراقبت پزشکی قرار می‌گیرند. هر ساعتی که از بروز این عفونت بگذرد، ۷/۶ درصد از احتمال زنده ماندن شخص کم می‌شود.


۱۱- سندرم شوک سمی

سندرم شوک سمی یک عفونت باکتریایی در جریان خون است که باعث گسترش سموم به اندام‌های بدن می‌شود (احتمالاً نام این سندرم را بیشتر در مورد تامپون شنیده اید). سندرم شوک سمی از باکتری استافیلوکوک اورئوس، در سال ۲۰۱۷، جان یک دختر ۱۶ ساله‌ی کانادایی را گرفت. مقامات مسئول اعلام کردند این اتفاق در جریان اردوی مدرسه و طی شب، در هنگام خواب رخ داده بود.


۱۲- هانتاویروس

این ویروس که از طریق قرار گرفتن در معرض ترشحات، ادرار یا بزاق دهان حیوانات جونده‌ی آلوده منتقل می‌شود، ۳۸ درصد از افراد مبتلا را به کام مرگ می‌کشاند. متأسفانه علائم شبه آنفولانزای این عفونت، کار تشخیص آن را سخت می‌کند. اگر فردی با نظر پزشک، مشکوک به این عفونت تشخیص داده شود، در بخش مراقبت‌های ویژه بستری خواهد شد و تحت مراقبت و کنترل دائمی قرار خواهد گرفت.

منبع: برترینها

1980

شبکه‌های اجتماعی
دیدگاهتان را بنویسید