تومور حاملگی چیست؟

تومور حاملگی چیست؟

تومور حاملگی تومور بی ضرر و خوش خیمی دردهان است که در درصد کمی از زنان باردار ایجاد می شود.

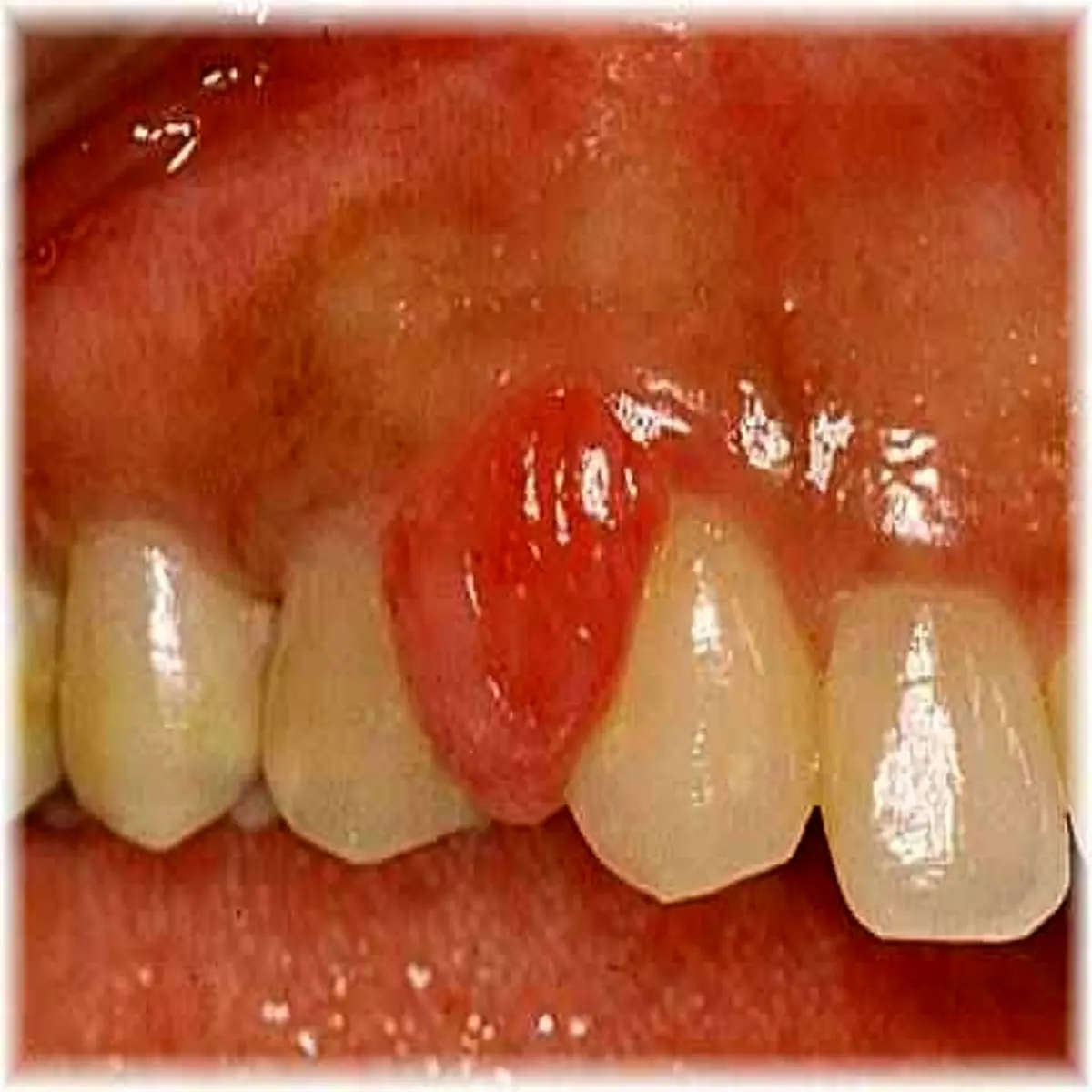
تومور حاملگی تومور بی ضرر و خوش خیمی دردهان است که در درصد کمی از زنان باردار ایجاد می شود. معمولا طی 3 ماهه ی دوم رشد می کند. ندول قرمز/ ارغوانی است که به طور معمول نزدیک لبه ی لثه ی دندان های بالا دیده می شود. گرچه در هر جای دیگری در دهان از جمله لب ها و زبان هم دیده شده است.این ندول به وسیله ی ساقه ی نازک بافتی به مخاط یا لثه متصل شده است.
این تومور با نام های دیگری هم معرفی شده است: گرانولوم حاملگی، گرانولوم پیوژنیک، همانژیوم کپیلاری لوبولار، گرانولوم گراویداروم.
تومور حاملگی نامی غلط است. این ها تومور و سرطانی نیستند. این رشد سلولی خطرناک نیست گرچه به راحتی خونریزی می کند و موجب ناراحتی می شود. علل ایجاد این تومور تحریک موضعی و تروما است. تغییرات هورمونی هم نقش دارند. همانطور که می دانیم سطح استروژن و پروژسترون طی دوران بارداری تغییر می کند. بعضی از تومورهای حاملگی بعد از بارداری و به حد طبیعی رسیدن هورمون ها درمان می شوند. آسیب ناشی از جرم ( کلکلوس یا تارتار) نیز در ایجاد تومور حاملگی نقش دارد. زنانی که دچار این عارضه می شوند اغلب به التهاب لثه ی ( ژنژیویت) همراه با بارداری هم دچارند.
نشانه ها
تومور حاملگی التهاب و تورم قرمز رنگی است که دردهان یا روی لثه دیده می شود و اغلب با خونریزی و ناراحتی همراه است.
تشخیص
دندانپزشک در دوران بارداری دردهان شما به دنبال ندول قرمز و ملتهب و متورم می گردد. اندازه ی این ندول از چند میلی متر تا چند سانتی متر متغیر است. ممکن است خونریزی کند ، زخم بشود، پوسته پوسته شود. زنانی که از تومور حاملگی رنج می برند اغلب بهداشت دهانی ضعیف دارند و جرم زیادی در دهانشان تشکیل می شود.
دندانپزک شما ممکن است از ندول دهان شما برای بررسی در زیر میکروسکوپ نمونه بگیرد. این ندول ها اغلب طی پاکسازی دندان ( رعایت بهداشت ، جرم گیری، حذف و کنترل پلاک) به طور کامل بهبود می یابند.
پیشگیری
تومورهای حاملگی بعد از فارغ شدن ناپدید می گردند. بهداشت دهانی خیلی خوب و پاکسازی های دندان قبل و در طی دوران بارداری به کاهش احتمال وقوع این عارضه کمک می کند.
درمان
اگر ممکن است علت قطعی تومور مثل جرم (تارتار) باید از بین برود. حذف عوامل آزاردهنده اغلب از بزرگ تر شدن تومور جلوگیری می کند و حتی ممکن است از اندازه ی آن بکاهد. اگر تومور مشکل ایجاد می کند مثلا با غذا خوردن تداخل دارد، دندانپزشک شما احتمالا آن را جدا می کند. معمولا عمل ساده ای همراه با بی حسی موضعی انجام می گیرد. به طور ایده آل طی سه ماهه ی دوم بارداری این عمل انجام می شود.
در بعضی از نمونه ها دندانپزشک برای درمان شما را به یک متخصص ارجاع می دهد.
چه زمانی به دندانپزشک مراجعه کنیم؟
اگر باردارید و متوجه ندول قرمز و براق در دهانتان شدید که خونریزی می کند و مشکلات جویدن یا ناراحتی دیگری برای شما ایجاد کرده است به دندانپزشکتان اطلاع دهید.
پیش آگهی
تومورهای حاملگیٍ معالجه نشده، موجب باقی ماندن بقایای غذایی در دهان، درد و بیماری لثه می شوند. این ندول ها می توانند حتی بعد از یک جراحی موفقیت آمیز نیز عود کنند.

منبع: نی نی بان

16

شبکه‌های اجتماعی
دیدگاهتان را بنویسید