در این اسکن ببینید کوکائین چه بلایی سر مغزتان می‌آورد / از فلج حرکتی و ضعف تکلم تا مرگ

یک تیم پزشکی در بریتانیا تصاویری از اسکن مغزی یک بیمار را منتشر کرده‌اند که در اثر مصرف کوکائین دچار مشکلات جدی شده است. در واقع پزشکان با انتشار این تصاویر تاثیر منفی مصرف مواد مخدر بر مغر را نشان داده‌اند.

در این اسکن ببینید کوکائین چه بلایی سر مغزتان می‌آورد / از فلج حرکتی و ضعف تکلم تا مرگ

در تصاویر منتشر شده مشخص شده که اثرات کوکائین بر مغز انسان می‌تواند در بلند مدت بسیار تکان‌دهنده‌تر از چیزی باشد که عموم مردم تصور می‌کنند.

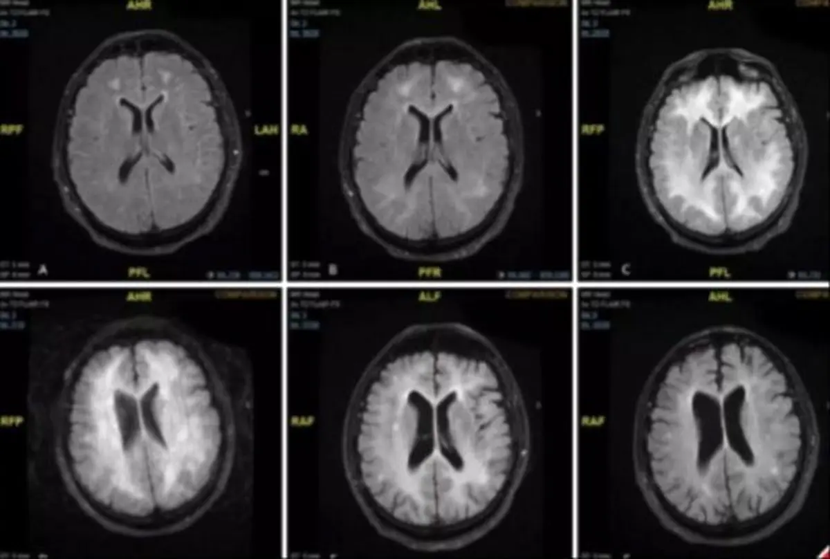
اسکن‌های مغزی نشان می‌دهد که چگونه کوکائین می‌تواند مغز را تحلیل برده، سلولها را اندک‌اندک محو کند و در نهایت منجر به معلولیت یا مرگ مصرف‌کننده شود. بیماری که از او اسکن گرفته شده بود، از عوارض جانبی نادر اما شدید مصرف کوکائین به نام لکووانسفالوپاتی سمی ناشی از کوکائین رنج می‌برد.

این مرد ۴۵ ساله، یک مصرف‌کننده معمولی کوکائین بود که توسط والدینش به بیمارستان آورده شد. وقتی وارد بیمارستان شد، به شدت گیج بود و رفتارهای عجیبی از خود نشان می‌داد. این همان چیزی بود که پزشکان را به سمت تشخیص بیماری نادر لوسوآنسفالوپاتی سمی سوق داد.

وی از زمان حضور در بیمارستان بسیار بهتر شده است اما پزشکان تصمیم گرفتند که از این پرونده برای افزایش آگاهی بخشی به دیگر مصرف کنندگان کوکائین که شاید مطلع نباشند با زندگی خود چه می کنند، استفاده کنند.

دکتر یلنیا عبدیلا، که درمانگر این بیمار بود می‌گوید:"این یک اختلال نادر است که می‌تواند ناتوانی قابل توجهی برای بیمار ایجاد کند. این مطالعه موردی با هدف افزایش آگاهی از این بیماری انجام شده است. اگر این بیماری به درستی تشخیص داده نشود می‌تواند منجر به مرگ شود."

در این اسکن مغزی مشخص شد که ماده سفید موجود در مغز وی آسیب دیده بود که منجر به تشخیص آنها شد. وی علائمی مثل تغییر سطح هوشیاری، گیجی، اختلال در زبان، تغییر بینش، تب یا اسپاسم را از خود نشان می‌داد.اکنون بیمار پس از درمان گسترده‌ای از جمله استروئیدها، آنتی‌بادی‌ها و تبادل پلاسما، به یک مرکز توانبخشی اعزام شده است و کمی بهبود یافته است."

منبع: انتخاب

24

شبکه‌های اجتماعی
دیدگاهتان را بنویسید