فلوروسیس، آسیب فلوراید به دندان

یک دندانپزشک گفت: علت لکه‌های دندانی از ضربه و آسیب فیزیکی تا مصرف مایعات رنگی متفاوت است.

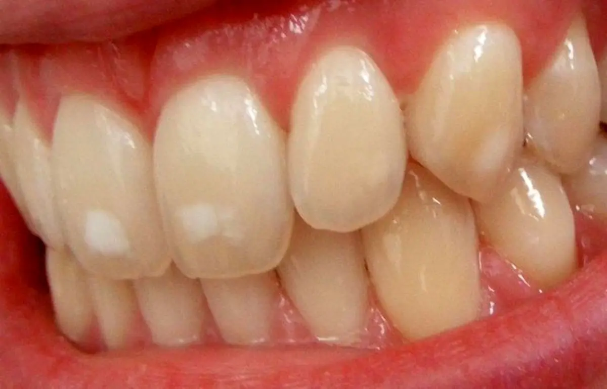
فلوروسیس، آسیب فلوراید به دندان

میثم مهابادی با اشاره به اینکه لکه‌های سفید رنگ بر روی دندان ممکن است عمدتا بر اثر دو علت به وجود آید، اظهار کرد : یکی از علل‌ این امر می‌تواند نشان دهنده شروع پوسیدگی باشد که تغییر رنگ نیز در همان نقطه‌ اتفاق می افتد.

وی افزود: اگر که قبل از بروز علایم پوسیده شدن، مواد معدنی به دندان برگرداننده شود و بهداشت دهان و دندان رعایت شود این لکه‌ها بروز نمی‌کنند. در واقع علت دوم و یک علت شایع بروز لکه‌های سفید رنگ مشکلی به نام فلوروسیس است که در اثر مصرف زیاد فلوراید در دوران کودکی ایجاد می‌شود.

مهابادی با بیان اینکه هم چنین استفاده بیش از حد مکمل‌های فلوراید در سنین کودکی نیز می‌تواند در پدیدار شدن این لکه‌ها موثر باشد، ادامه داد: لکه‌های سفیدی که بر اثر فلوروسیس ایجاد می‌شود اگر کم باشند مشکل خاصی ایجاد نمی‌کنند اما اگر زیاد باشند از لحاظ زیبایی مشکل ساز است. لکه‌های سفید بر روی دندان که مانع زیبایی است درمان‌های زیادی دارد.

این متخصص پروتزهای دندانی و ایمپلنت با بیان اینکه از دیگر درمان‌ها بلیچینگ و یا درمان از طریق ونیر و یا کامپوزیت است، گفت: حتی در مواردی که این لکه‌ها بسیار شدید است از درمان‌هایی مانند لمینلت یا روکش کل دندان استفاده می‌شود. فلوروسیس می‌تواند باعث تخریب مینای دندان شود. لکه‌های سفید تا وقتی که ساختار مینا را خراب نکنند می‌تواند بدون درمان رها شوند.

مهابادی با اشاره به اینکه برای درمان لکه‌های سفید رنگ مسواک زدن راهکار مناسبی نیست، ادامه داد: به صورت کلی لکه‌های سفید رنگی که در دندان ایجاد می‌شوند یا داخلی‌اند یا خارجی. لکه‌های خارجی در سطح خارجی دندان هستند و با درمان‌هایی مانند بلیچینگ قابل رفع هستند و معمولا بر اثر مصرف مایعات رنگی مانند چای و یا سیگار می‌توانند ایجاد شوند.

این متخصص پروتزهای دندانی و ایمپلنت، تصریح کرد: هم چنین تغییر رنگ‌های داخلی علت‌های مختلفی دارد و ممکن است به دلیل آسیب دیدن دندان یا عصب دندان بر اثر ضربه باشد.

منبع: ایسنا

10

شبکه‌های اجتماعی
دیدگاهتان را بنویسید