هرگز جلوی عطسه‌تان را نگیرید، ممکن است گلویتان سوراخ شود

پزشکان تاکید می‌کنند هرگز جلوی عطسه خود را نگیرید. مردی انگلیسی به این توصیه عمل نکرد، گلویش سوراخ شد و مجبور شد یک هفته در بیمارستان بستری شود.

هرگز جلوی عطسه‌تان را نگیرید، ممکن است گلویتان سوراخ شود

به گزارش خبر فوری به نقل از خبرآنلاین، جلوگیری از عطسه می‌تواند سوراخ شدن گلو و آسیب دیدن مهره‌های گردن را به همراه داشته باشد. این خلاصه تحقیقی است که دیروز (دوشنبه) در نشریه «BMJ Case Reports» منتشر شد. در این مقاله توصیف شده است که فرد مصدوم احساس کرد دچار عطسه‌ای قوی شده، اما بالای بینی خود را با دستانش فشار داد و دهانش را بسته نگاه داشت تا عطسه فروکش کند. او بعدتر به پزشکان گفت که در همان لحظه، انفجار کوچکی را در گردنش حس کرد.

بیمار در ابتدا متوجه هیچ تغییر یا آسیبی نشد و حتی چند ساعت بعد که دردی را در گلو و گردن خود احساس کرد، تصور کرد مشکل خاصی پیش نیامده است؛ اما وقتی گلویش متورم شد و صدایش تغییر کرد، تصمیم گرفت به بیمارستان برود.

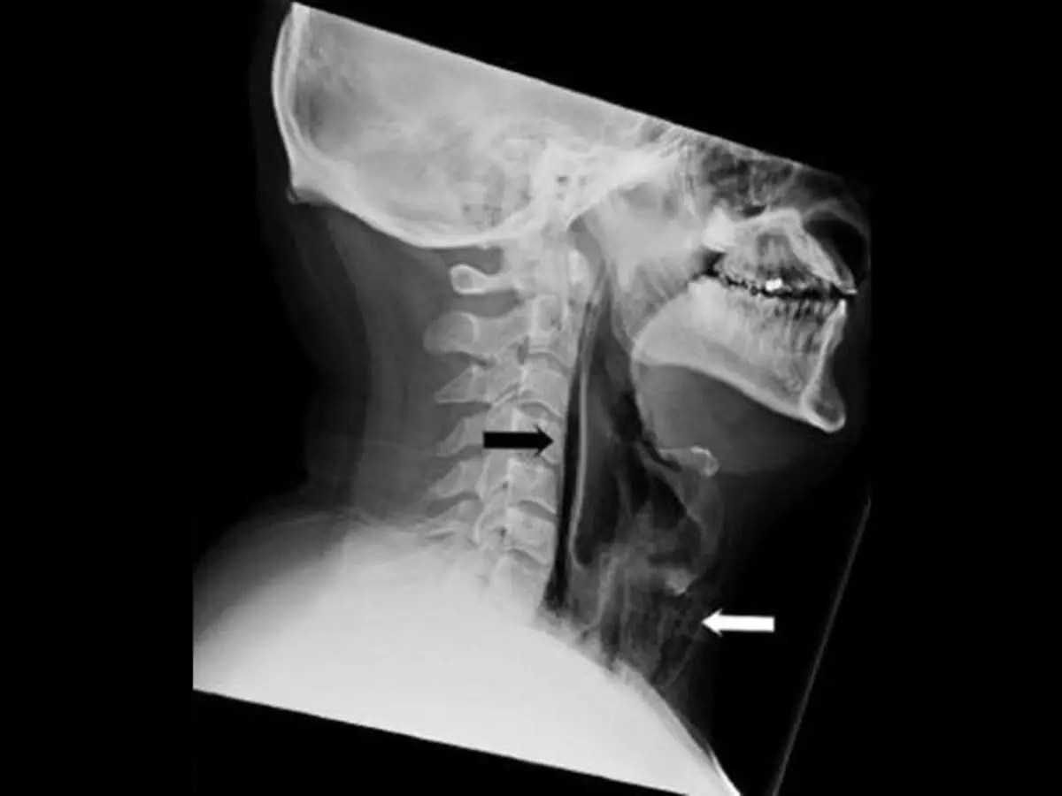
دکتر «ویندینگ یانگ» که در بخش گوش و حلق و بینی بیمارستان دانشگاه لسستر مشغول به کار است و مقاله درمان او را نوشته، این بیمار ۳۴ ساله را معاینه و درمان کرد. او و پزشکان همکارانش در ابتدا، التهابی را در گردن بیمار مشاهده کردند و وقتی بافت‌های نرم این منطقه را آزمایش کردند، صداهای ترکیدن و شکستن حباب به گوششان رسید. این بدان معنی بود که حباب‌های هوا به درون ماهیچه‌ها و ژرفای بافت نفوذ کرده‌اند.

تصویربرداری‌های پزشکی (نمای فوق)، فرضیه پزشکان را تأیید کرد و از وجود رگه‌های هوا در منطقه رتروفارنژال و آمفیزم گسترده در بخش جلویی گردن پرده برداشت. به بیان ساده‌تر، این بیمار که تلاش می‌کرد جلوی عطسه کردن خودش را بگیرد، حفره کوچکی در گلوی خود ایجاد کرد.

عطسه چیست؟

عطسه درواقع پاسخ ایمنی بدن برای خلاص شدن از مواد تحریک‌کننده‌ای است که وارد بینی شده‌اند. وقتی عطسه می‌کنید، ریه حجم قابل‌توجهی از هوای پرفشار را آماده می‌کند و آن را از مسیر بینی به بیرون شلیک می‌کند تا همراه خود، هر ماده تحریک‌کننده و اضافی را بیرون ببرند.

برای درک قدرت عطسه، کافی است بدانید که این فرآیند می‌تواند ذرات مخاط را با سرعت ۱۶۰ کیلومتر بر ساعت به بیرون پرتاب کند. اگر عطسه خودتان را نگه دارید، این هوای پرفشار باید به جای دیگری منتقل شود که در مورد این بیمار انگلیسی، بافت گلو بود. پزشکان موارد متعددی از آسیب‌های مشابه را ثبت کرده‌اند که مشکلات سینوس، آسیب به گوش میانی و داخلی، عفونت گوش و پاره شدن پرده گوش، نمونه‌ای از آن‌هاست.

خوشبختانه بیمار انگلیسی نیاز به جراحی نداشت. پزشکان برای او آنتی‌بیوتیک تجویز کردند و او مجبور شد تا یک هفته با استفاده از لوله غذا بخورد. به گفته پزشکان، این نوع آسیب بر اثر ممانعت از عطسه غیرمعمول است و چنین مواردی هنگامی رخ می‌دهد که افراد پس از استفراغ‌های شدید، دچار سرفه‌های متعدد و شدید می‌شوند.

پزشکان توصیه می‌کنند اگر نگران پخش شدن میکروب بر اثر عطسه هستید، به جای آن‌که جلوی عطسه کردن خودتان را بگیرید، اجازه دهید بدن واکنش ایمنی خود را تمام‌وکمال انجام دهد. برای پیشگیری از پراکنده شدن میکروب‌ها می‌توانید از دستمال یا دستمال‌کاغذی استفاده کنید؛ اگر دستمالی در دسترس نبود بهتر است به جای آن‌که دست خود را جلوی بینی و دهان بگیرید، آرنج دست را جلوی صورتتان بگیرید.

35

شبکه‌های اجتماعی
دیدگاهتان را بنویسید