دلیل ابتلای مجدد افراد به کرونا کشف شد

محققان دانشگاه هاروارد آمریکا به تازگی موفق به کشف دلیل ابتلای مجدد افراد به کووید ۱۹ شدند.

دلیل ابتلای مجدد افراد به کرونا کشف شد

بیش از ۸ ماه از شیوع ویروس کرونا در جهان می‌گذرد. شیوع این ویروس زندگی بخش بزرگی از جمعیت جهان را تحت تاثیر خود قرار داده است. دانشمندان امیدوارند هر چه سریعتر به واکسنی موثر برای مقابله با این ویروس دست پیدا کنند.

زمانی که یک فرد به یک عامل بیماری‌زا مبتلا می‌شود، سیستم ایمنی بدن با شناسایی آن و ثبت عامل بیماری‌زا در حافظه سلولی خود، می‌تواند به راحتی در آینده با آن مبارزه کند. با این حال، ویروس کرونا با سایر عوامل بیماری‌زا عملکرد متفاوتی دارد.

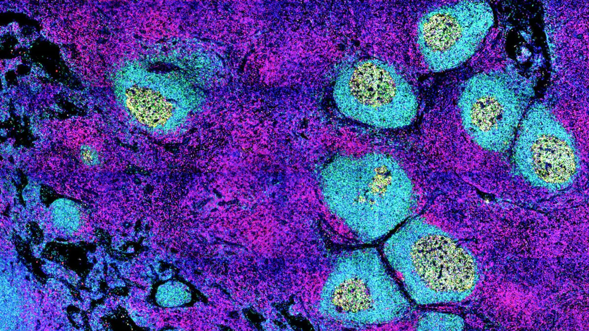
درباره میزان مقاومت بدن در مقابل ویروس کرونا پس از ابتلا به آن تردید‌هایی وجود دارد. تحقیقات کالبدشکافی روی کسانی که به دلیل ابتلا به کرونا جان خود را از دست داده‌اند، نشان می‌دهد آن‌ها فاقد مراکز زایگر (مراکز جوانه زنی) هستند.

مراکز زایگر یکی از مهمترین بخش‌ها در سیستم ایمنی بدن محسوب می‌شوند. مراکز زایگر ساختار‌های تخصص یافته‌ای در ارگان‌های لنفاوی هستند که در طول تکامل پاسخ‌های ایمنی هومورال وابسته به سلول‌های T کشنده در آن تولید می‌شود. همچنین مسئولیت تکثیر گسترده سلول‌های B و نیز یادگیری در سلول‌ها و ایجاد سلول‌های B خاطره برعهده این مرکز است.

در واقع مراکز زایگر علاوه بر تولید دو سلول مهم در مبارزه با عوامل بیماری‌زا، مانند کلاس درس عمل می‌کند و به سلول‌های B آموزش می‌دهد که در آینده در برخورد با عوامل بیماری‌زا با آن مبارزه کنند (ایجاد حافظه بلند مدت در گلبول‌های سفید برای مبارزه با عوامل بیماری‌زا).

محققان معتقدند تنها در افرادی که به کرونای شدید مبتلا شده اند و جان خود را از دست داده اند شاهد نبود مراکز زایگر هستیم. افرادی که به کرونای خفیف مبتلا شده اند و یا هیچ علائمی از بیماری را ندارند، مراکز زایگر وجود دارد.

این یافته می‌تواند توضیحی منطقی برای روند تشدید بیماری در افراد باشد، همچنین در روند توسعه واکسن موثر برای کووید ۱۹ بسیار پر اهمیت است.

این تحقیقات که از سوی دانشمندان دانشگاه هاروارد صورت گرفته است نخستین دلیل علمی برای ابتلای مجدد افراد به ویروس کرونا را تشریح می‌کند.

محققان می‌گویند آنتی بادی (پادتن) سیستم ایمنی در بدن برخی افراد تنها در کوتاه مدت عمل می‌کند و توانایی ایجاد حافظه در سلول‌های B که مسئول مبارزه بلند مدت با عوامل بیماری‌زا هستند را ندارد.

به گفته آنها احتمالاً ویروس کرونا باعث برهم خوردن روند یادگیری گلبول های سفید و نابودی مراکز زایگر می شود.

دانشمندان در این تحقیقات گره‌های لنفاوی و طحال افراد جان باخته از ویروس کرونا را مورد مطالعه قرار دادند و مشاهده کردند مراکز زایگر در این افراد تشکیل نشده است. این نخستین باری است که دانشمندان دلیل علمی ابتلای مجدد یک فرد به ویروس کرونا را کشف می‌کنند.

تاکنون ۲۴ میلیون نفر در جهان به کووید ۱۹ آلوده شده اند. از این میان، بیش از ۸۲۰ هزار نفر جان خود را از دست داده اند.

منبع: باشگاه خبرنگاران جوان

24

شبکه‌های اجتماعی
دیدگاهتان را بنویسید

نظرات شما - 3
  • ع،ف

    به نظربنده این مطلب کاملاعلمی وازمنطق برتری نشات گرفته است.اما همین دانشمندان شایدیک چیزدیگری رادرهمین رابطه متوجه نمیشوند که ذهن انسان ,،،منظورم نوع اندیشه وتفکراست،،،هم نقش کلیدی درروندیادگیری وایجاد مراکز زایگر برای گلبولهای مدافع بدن دارد.بعنوان مثال:ترس برادرمرگ است وقتی ترس برنوع تفکرغلبه کند روی گلبولها تاثیرمستقیم گذاشته ومیتواند در سیستم دفاعی بدن اختلال ایجادکند.بنابراین دراین رابطه همه چیز تنها زیرتیغ جراحی،خوردن ودارو نیست بلکه درنوع نگرش واندیشه نیزاسرارفراوانی است که درهیچ ازمایشگاهی هم یافت نمیشود

  • داروغه

    بدشانسی اولین دلیل

    نظرات شما -
    • ناشناس

      نابغه چشمت نزنن