موفقیت واکسن بینی "کووید-۱۹" در موش‌ها

دانشمندان دانشکده پزشکی

موفقیت واکسن بینی "کووید-۱۹" در موش‌ها

دانشمندان آمریکایی واکسنی را ایجاد کرده‌اند که ویروس "کروناویروس سندرم حاد تنفسی ۲" را هدف قرار می‌دهد و می‌توان آن را از طریق بینی به بدن ارسال کرد. مقدار دوزی که محققان آن را مناسب می دانند یک دوز است.

محققان در گام بعدی قصد دارند تا واکسن را در نخستی سانان و سپس انسان‌ها آزمایش کنند تا ببینند آیا واکسن مذکور در جلوگیری از عفونت کووید-۱۹ در آنها موثر است یا خیر.

برخلاف سایر واکسن‌های کووید-۱۹ در حال توسعه این واکسن از طریق بینی که اغلب محل اولیه عفونت است، به بدن ارسال می‌شود. محققان در مطالعه جدید دریافتند که ارسال دارو از طریق مسیر بینی یک پاسخ ایمنی قوی در کل بدن ایجاد می‌کند و تاثیر خوبی در جلوگیری از عفونت بینی و مجاری تنفسی و در مجموع در کل بدن دارد.

دکتر "مایکل اس. دایموند"(Michael S. Diamond) نویسنده ارشد این مطالعه گفت: ما از دیدن پاسخ ایمنی قوی در سلول‌های داخلی بینی و مجاری تنفسی و محافظت عمیق از آنها در برابر جلوگیری از عفونت و مبارزه با این ویروس شگفت زده شدیم. بدن موش‌هایی که این واکسن را دریافت کرده‌اند به خوبی در برابر این بیماری ایمن شده است.

محققان برای تولید واکسن، پروتئین میخ مانند ویروس(spike protein) را که کروناویروس از آن برای حمله به سلول‌ها استفاده می‌کند، در داخل آدنوویروس که سبب سرماخوردگی می‌شود، قرار دادند.اما دانشمندان عملکرد آدنوویروس را تغییر دادند تا نتواند بیماری ایجاد کند.

آدنوویروس بی ضرر، پروتئین میخ مانند مذکور را به داخل بینی منتقل می‌کند و بدن را قادر می‌سازد بدون اینکه فرد بیمار شود، یک دفاع ایمنی در برابر کروناویروس سندرم حاد تنفسی ۲ ایجاد کند.

واکسن جدید سبب ایجاد دو جهش در پروتئین مذکور می‌شود که آن را به شکل خاصی تثبیت می‌کند و این موضوع عامل ایجاد آنتی بادی در برابر آن می‌شود.

آدنو ویروس‌ها اساس بسیاری از واکسن‌های تحقیقاتی در مورد کووید-۱۹ و سایر بیماری‌های عفونی مانند ویروس ابولا و سل هستند و سوابق ایمنی و کارایی خوبی دارند، اما تحقیقات زیادی برای توسعه واکسنی که از طریق بینی به بدن تحویل داده شود، وجود ندارد.

بینی مسیر جدیدی برای ارسال واکسن

دکتر "دیوید تی. کوریل"(David T. Curiel) گفت: تمام واکسن‌های دیگر آدنو ویروس در حال توسعه برای کووید-۱۹ با تزریق به عضله بازو یا ران به بدن افراد ارسال می‌شوند. بینی مسیر جدیدی برای ارسال است، بنابراین نتایج ما شگفت آور و امیدوارکننده است. همچنین مهم است که یک دوز از این واکسن چنین پاسخ ایمنی خوبی در بدن ایجاد می‌کند. واکسن‌هایی که برای محافظت کامل به دو دوز نیاز دارند کمتر موثر هستند زیرا برخی از افراد به دلایل مختلف هرگز دوز دوم را دریافت نمی‌کنند.

اگرچه یک واکسن آنفلوانزا به نام "FluMist "وجود دارد که از طریق بینی تحویل داده می‌شود، اما محققان در آن از یک شکل ضعیف شده از ویروس آنفلوانزا زنده استفاده می‌کنند و بنابراین نمی‌توان از آن برای تزریق در گروه‌های خاصی از افرادی که سیستم ایمنی بدن آنها به دلیل بیماری‌هایی مانند سرطان، دیابت و HIV و ... ضعیف شده، استفاده کرد.

در مقابل، واکسن جدید کووید-۱۹ این مطالعه از ویروس زنده‌ای که قادر به تکثیر باشد استفاده نمی‌کند که این موضوع احتمال ایمن بودن آن را بالاتر می‌برد.

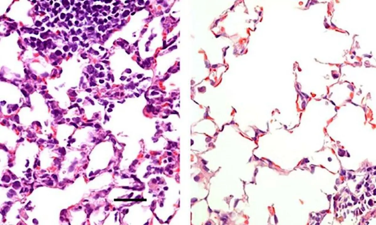
محققان به دو روش این واکسن را به موش‌ها تزریق کردند تا نتایج حاصل از این دو روش را مقایسه کنند. در روش اول آنها واکسن را از طریق بینی و در روش دوم آنها از طریق تزریق عضلانی این واکسن را به بدن موش‌ها ارسال کردند. در حالی که تزریق عضلانی پاسخ ایمنی را ایجاد می‌کرد که مانع از سینه پهلو می شد، اما از عفونت در بینی و ریه‌ها جلوگیری نمی‌کرد. چنین واکسنی ممکن است شدت کووید-۱۹ را کاهش دهد ، اما این امر به طور کامل نمی‌تواند باعث جلوگیری از شیوع ویروس شود. در مقابل ارسال واکسن از طریق مسیر بینی از عفونت در دستگاه تنفس فوقانی و تحتانی و بینی و ریه‌ها جلوگیری می‌کند و نشان می‌دهد که افراد واکسینه شده ویروس را گسترش نمی‌دهند یا ویروس در نقاط دیگر بدن عفونت ایجاد نمی‌کند.

محققان گفتند که این مطالعه امیدوار کننده است، اما اظهار کردند که تاکنون واکسن فقط در موش‌ها مورد مطالعه قرار گرفته است.

دایموند گفت: ما به زودی یک مطالعه برای آزمایش این واکسن داخل بینی نخستی سانان و سپس برنامه‌ای برای شروع کارآزمایی‌های بالینی انسان آغاز خواهیم کرد.

یافته‌های این مطالعه در مجله "Cell"منتشر شد.

منبع: ایسنا

24

شبکه‌های اجتماعی
دیدگاهتان را بنویسید